HOME > 治療症例からみるお悩み解決方法 > 治療症例検索 > 【お口の症状・お悩みからみる】 > 受け口・反対咬合
歯は本来、上の前歯が下の前歯の前方に被さっていますが、下の歯の方が前に出ている症状を「受け口」と言います。下顎が出ている場合は「しゃくれ」と呼ばれることもあります。
医学的には「反対咬合」と言い、下顎全体が前に出ている場合は「下顎前突」と言います。
受け口は大きく分けて「骨格性反対咬合」と「歯性反対咬合」があります。それぞれの原因について解説していきます。
顎骨に問題のある受け口を「骨格性反対咬合」と言います。
上の顎が小さ過ぎたり、下の顎が大き過ぎたりといった上下の顎のアンバランスが原因で起こる症状です。
ご両親やご親戚が骨格性反対咬合の場合、遺伝することがあります。
顎骨には問題がなく、前歯のかみ合わせが逆になっていて、上の歯が下の歯よりも後ろにある場合「歯性反対咬合」と言います。
歯性反対咬合には以下のような原因があります。
口からの呼吸を続けていると、口元の筋肉が衰えて受け口になりやすいです。また、口呼吸をしていると舌の位置が下がり、下の歯や顎を前に押し出してしまうため受け口になってしまうことがあります。
指しゃぶりを長く続けていると、下の歯や顎を前に押し出してしまうため、受け口の原因となることがあります。また、舌を前に出すような癖があると、下の前歯が押し出されてかみ合わせが反対になることがあります。
顎の成長は、頭蓋骨に付いた上顎が先に成長し、下顎の骨は手足の骨と同じ種類のため身長が伸びる間ずっと成長を続けます。従って、上顎の成長が不十分な場合は、下顎が上顎より大きくなり、受け口になることがあります。
受け口の患者様からは、以下のようなお悩みがよく聞かれます。

ワイヤー矯正は、歯の表面に「ブラケット」という装置を付け、そこにワイヤーを通して歯を少しずつ動かす治療方法です。治療期間は一般的に、歯の移動に2~3年、保定に2年位を要します。
骨格性の強い反対咬合・下顎前突の症状は、顎の骨を切る外科手術の併用をお勧めする場合があります。外科矯正は術前術後にそれぞれ数年間の矯正治療を行い、外科手術は1~2週間の入院とリハビリが必要となります。
基本的には、受け口はマウスピース矯正は不向きと言われています。軽度の受け口のみ対応する歯科医院が多いです。
神経を残すセラミック矯正は、歯を少ししか削れないので重症な歯並びを治せないことが最大のデメリットですが、以下のような受け口は適用症例と言えるでしょう。
ご自分は適応できないと思うような歯並びでも、専門の歯科医師が診ると治療可能な場合が大変多いです。
ご自分で判断せずに、まずは無料カウンセリングか無料メール相談にてご相談ください。
受け口の治療は患者様が一番感動してくれる治療です。「まさかこんなに簡単に治るとは思わなかった」というお声を多くいただいています。
では、受け口治療について具体的な症例を元に解説します。



受け口の患者様の治療では、子供の頃からお悩みの歯並びが、こんなに短期間で治ることに大変驚かれます。
受け口がずっとコンプレックスであったなら、悩んでいる時間は非常にもったいないと思います。まずは【神経を残すセラミック矯正】で治るかどうか、無料カウンセリングでご相談ください。
歯並びの症状が重度の場合、神経を残すのは難しいこともあるのですが、実は40代・50代のミドル世代は適応できるケースが多くあります。
年齢を重ねると歯の神経も退縮している場合があり、少々重症な場合も神経を残すことが可能なケースが多いのも事実なのです。
40代50代のセラミック矯正の詳細はこちらをご覧ください。
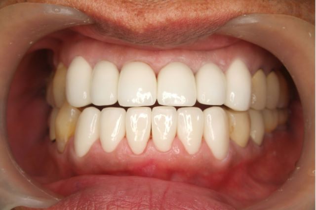
40代・50代のミドル世代に最適な歯並び治療当院の治療例です。
掲載の症例は当院の治療実績の中のほんの一部ですが、今後少しずつ掲載を増やしていく予定です。
患者様のご予算等の制限もあり、歯並びは完璧に整っていない場合もありますが、各症例は「今の一番のご希望」を最大限叶えたものになっています。当院ではほとんどのケースで歯の神経を取ることなく、通院2回・1~2週間で治療が完了しています。
歯に優しい「神経を残すセラミック矯正」が、貴方のお悩みの解決につながれば大変嬉しいです。
ぜひ、当院の治療例をご覧ください。
※ お口の症状やお悩み、「このようになりたい」などのご要望で絞り込み検索も可能です。
Dr.田中の解説