
歯を大きく削って神経を取るセラミック矯正は
絶対に避けてください
セラミック矯正とは、セラミックの被せ物で歯並びを改善する治療です。
被せ物をするには、歯を削る必要があります。セラミック矯正を行う多くの医院では、歯の神経を取って、歯を大きく削ります。そのほうが歯並びを大幅に改善できる上、患者様が痛みを感じずに治療を進められるからです。
しかし、歯の神経(歯髄)の中には栄養を供給するための血管があり、神経を取ることによってその働きを遮断してしまうため、歯の寿命を短くしてしまいます。
健康な歯を大きく削ることから「セラミック矯正は危険」という矯正医もいます。
では、ワイヤー等の矯正治療は身体へのデメリットはないのでしょうか?
そんなことはありません。
矯正治療には「抜歯」が大きく関わってきます。歯が並ぶ十分なスペースが無いことから歯並びが悪くなるケースが多いため、スペースを作り出すには健康な歯を抜かなければなりません。
親知らずを含めると上下左右8本もの健康な歯を抜いて矯正治療を行う患者さんがたくさんいらっしゃることを、皆さんはご存知でしょうか?
歯の健康を保つには、できるだけ「抜かず、削らず、神経を取らず」が鉄則です。
しかし、歯並びを治すために何かをしないとならないならば、神経を残したまま歯を薄く削って行うセラミック矯正が一番身体にやさしいと言えるのではないでしょうか?
そのようなことから、当院は2006年の開業以来ずっと【神経を残すセラミック矯正】にこだわって歯並びの治療を行っています。当院の田中理事長は30年以上前に神経を残したセラミック治療を受けていますが、いまだに健康な歯を保っています。
患者様にも一生自分の歯でいて欲しいから、そのために当院では神経を取らないセラミック治療を専門にしています。
もちろん、どのような治療にも欠点はあります。
【神経を残すセラミック矯正】の欠点は、歯を少ししか削らないので、重症な歯並びは治せないということです。
ですが、ご自分は適応できないと思っていても専門の歯科医師が診ると治療可能なケースは大変多いです。
ご自分で判断する前に、まずは無料カウンセリングまたは無料メール相談にてご連絡ください。
歯にやさしい、身体の健康に配慮されているという理由以外にも、【神経を残すセラミック矯正】をお勧めする理由はたくさんあります。
矯正治療のように数年間かけて歯並びを治していくようなことはありません。【神経を残すセラミック矯正】は最短2回の通院で治療が完了します。
1回目のご来院日に歯の表面を削り、仮歯を付けてお帰りいただきます。約1~2週間後の2回目のご来院日に、ご希望通りに出来上がったオーダーメイドのセラミックを歯に被せて治療完了です。

以下の治療例は、どれも【神経を残すセラミック矯正】の治療例です。
歯の色や形を患者様のご希望に合わせて、専任技工士と共に作り上げていきます。
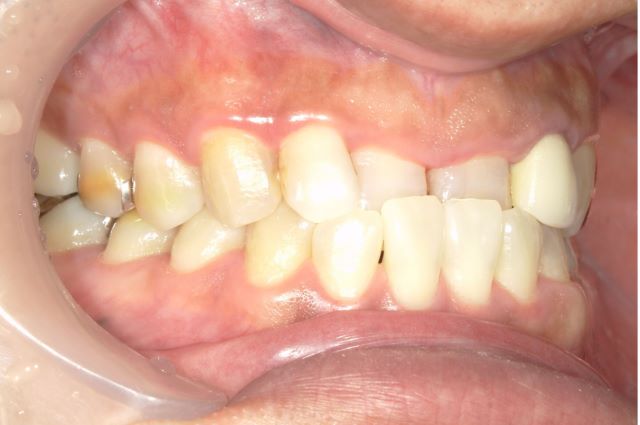
治療前


治療後

女性の患者様で、歯を可愛らしく小さくして欲しいというご要望でした。また、少しだけ白くしたいとのことで、そのような歯と歯並びを作り上げました。
この症例について、詳しくはこちらをご覧ください。
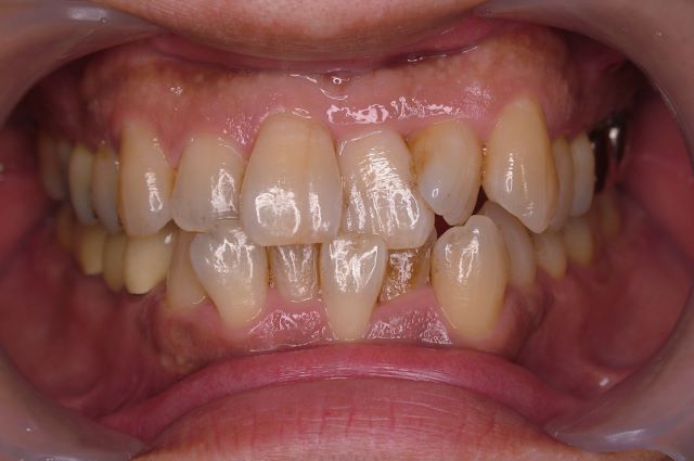
治療前


治療後

前歯2本が長く目立つため、短くして周りの歯と揃えたいというご希望があり、歯の形を小さくバランス良く整えました。また、できるだけ周りの色に合わせて自然な歯を作り上げました。
この症例について、詳しくはこちらをご覧ください。
ワイヤー矯正は、初めて装置を付けた時や装置を調整する度に痛みを伴いますが、【神経を残すセラミック矯正】は、処置の際に必要に応じた麻酔をしますので、ほとんど痛みを感じることはないと思います。
当院では、最も痛みの少ない電動注射器を使用し、体温と同等に温めた麻酔液をゆっくりと一定の圧で注入します。麻酔後、更に一定の時間を置くことで、ほぼ痛みが生じない状態で治療を行うことができます。患者様に痛みを我慢させながら治療を続けることはありませんので、ご安心ください。
せっかく何年もかけて矯正治療を行っても、後戻りしてしまったというお話を聞いたことはありませんか?
生来の位置から無理やり動かした歯列は、元に戻ろうとする作用が働きます。その点、【神経を残すセラミック矯正】は、歯列を動かさず1本1本の歯自体にアプローチしますので、後戻りがありません。
以下の症状でお悩みの方は、ぜひご相談ください。
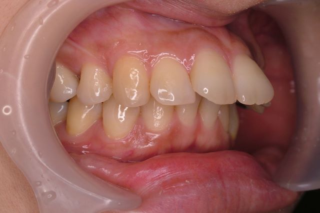
治療前


治療後

長年の悩みが、驚くほど簡単に解決しました。受け口でお悩みの方は、ぜひご相談ください。この症例について、詳しくはこちらをご覧ください。
治療前


治療後

デコボコ歯並びも通院2回でこのように治ります。ワイヤー矯正では歯の色までは治せません。この症例について、詳しくはこちらをご覧ください。
治療症例からみるお悩み解決方法の「ご希望からみる」より、こちらのページもご覧ください。
治療前


治療後

他院で治療した前歯が自然に見えないことがずっとコンプレックスとのことで、当院で作り替えました。この症例について、詳しくはこちらをご覧ください。
治療症例からみるお悩み解決方法の「ご希望からみる」より、こちらのページもご覧ください。
治療前


治療後

前方に飛び出した前歯を、白く形の良いセラミックで歯の向きまでいっぺんに治しました。この症例について、詳しくはこちらをご覧ください。
治療症例からみるお悩み解決方法の「ご希望からみる」より、こちらのページもご覧ください。
治療前


治療後

傷のある大きな前歯は、お好みの小さな白い歯に替えました。下の歯も見えるようになり、歯並びの印象もグッと良くなりました。この症例について、詳しくはこちらをご覧ください。
治療症例からみるお悩み解決方法の「ご希望からみる」より、こちらのページもご覧ください。
治療前


治療後

歯並び自体は悪くない患者様。虫歯の痕の無いきれいな白い歯になると、印象はガラリと変わりました。この症例について、詳しくはこちらをご覧ください。
治療症例からみるお悩み解決方法の「ご希望からみる」より、こちらのページもご覧ください。
治療前


治療後

40代の患者様です。失活歯(神経がない歯)の黒ずみがあったので、白く小さな可愛らしい歯に替えて若返りを図りました。一気に明るい印象になりました。
治療症例からみるお悩み解決方法の「ご希望からみる」より、こちらのページもご覧ください。
また、当院は40代50代のミドル世代の治療を得意としています。詳しくはこちらをご覧ください。
セラミック矯正に関するよくある質問をQ&Aページに掲載しています。その他のご質問は無料メール相談にてお気軽にお尋ねください。