HOME > 治療症例からみるお悩み解決方法 > 治療症例検索 > 【お口の症状・お悩みからみる】 > 歯の色が悪い・テトラサイクリン・歯に傷
2022年、日本歯科医師会が全国の10代〜70代男女1万人を対象に歯や口の悩みの意識調査を行ったところ、「歯の色が気になる」は、3位の「歯並びが気になる」を抜いて第2位でした(1位は「歯と歯の間にものが挟まる」)。
歯の色は人に与える印象を大きく左右します。初対面の人であれば尚更です。歯の色で年齢も若く見られたり、白い歯は面接にも有利と言われます。
歯の色にお悩みであれば、【神経を残すセラミック矯正】で治しませんか? 歯の寿命を考えた歯に優しい治療法で、歯並びも丸ごと治すことが可能です(重度の歯並びは治せない場合もあります)。
前歯の虫歯や怪我の治療に保険のにレジンを使うと、治療直後はきれいでも、経年劣化で次第につぎはぎした部分が茶色く目立ってきます。
再度治療をするには、またその部分を削ることになるため、繰り返し何度も行えるものではありません。
前歯の治療痕が目立ってきたら、次のステップとしてセラミックを考えても良いのかもしれないですね。
歯の変色は、加齢によるもの、歯の神経が死んでしまったことによるもの、薬剤によるもの、飲食物によるものなど、原因はさまざまです。
歯の黄ばみは、歯の内部の黄色い象牙質が透けて見えることが主な原因です。
歯の表面は白いエナメル質で覆われていますが、生まれつきエナメル質が薄い場合や加齢によりエナメル質がすり減ってしまった場合は歯が黄色っぽく見えてしまいます。
歯の神経を取ってしまうと、歯に栄養がいかなくなり、歯や歯ぐきが次第に黒っぽく変色していきます。
変色だけでなく、歯自体が非常に脆くなりまるので、安易に神経を取る治療は避けるようにしてください。
小学生までの歯の形成期にテトラサイクリン系の抗生物質を服用したことが原因で、歯が灰色や褐色、縞模様に変色したケースです。テトラサイクリンは、昭和40年代によく使われていたシロップの風邪薬などに含まれていました。
当院の理事長もテトラサイクリン歯に悩み、18歳の時に【神経を残すセラミック矯正】の治療を受けて感銘したことで歯科医になったので、当院ではこの治療法にこだわって施術しています。
歯の表面の白い斑点模様のことで、初期虫歯や生まれつきのエナメル質形成不全が原因と言われています。
ホワイトスポットは小さな斑点ですが、気になりだしたらそれもコンプレックスに繋がっていきますので、ぜひご相談ください。
コーヒー、紅茶、赤ワイン、カレー、チョコレートなど、歯に着色しやすいポリフェノール成分を含んだ飲食物は着色汚れの原因になります。
また、タバコのヤニ(タール)は、黄色や褐色の着色物質が含まれているだけでなく、粘着性があるため色の濃い飲食物の着色効果を高めてしまいます。
飲食物による着色は歯科医院でのこまめなクリーニングできれいにすることは可能です。

歯を削った上から、セラミックでできた被せ物を装着することで歯を美しく見せる治療方法です。歯の大きさと白さを選ぶことができるために審美的に優れた治療方法です。
一般的には神経を取り除くことが多く、リスクがある治療ですが、当院では神経を残す歯に優しい治療を行っています。
歯の表面を0.5ミリ程度削って、薄いセラミックを被せる治療方法です。歯を白くしたい方、表面の凹凸を治したい方にお勧めです。
歯の表面に被せるセラミックは、白さだけでなく大きさも選ぶことができるため、軽度のすきっ歯などの治療にも有効です。
デメリットは外れてしまうことがある点です。歯を削る量に対して貼り付けるラミネートべニアの方が分厚いため、通常より盛り上がった形での仕上がりになってしまうケースがあります。
歯並びはワイヤー矯正やマウスピース矯正で治せたとしても、変色した歯を治すことはできません。
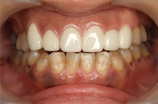
患者様はテトラサイクリンの変色がありましたので、八重歯の治療と共に【神経を残すセラミック矯正】の治療をを行いました。



【神経を残すセラミック矯正】の治療は、通常、通院2日・1~2週間で完了なのですが、こちらの症例は八重歯の抜歯がありましたので、腫れが退いてから歯型を採るため、治療期間は2か月ほどかかりました。
治療後は、人前で歯を隠さずに笑えるようになったと大変喜んでいただきました。
歯並びの症状が重度の場合、神経を残すのは難しいこともあるのですが、実は40代・50代のミドル世代は適応できるケースが多くあります。
年齢を重ねると歯の神経も退縮している場合があり、少々重症な場合も神経を残すことが可能なケースが多いのも事実なのです。
40代・50代のセラミック矯正の詳細はこちらをご覧ください。
当院の治療例です。
掲載の症例は当院の治療実績の中のほんの一部ですが、今後少しずつ掲載を増やしていく予定です。
患者様のご予算等の制限もあり、歯並びは完璧に整っていない場合もありますが、各症例は「今の一番のご希望」を最大限叶えたものになっています。当院ではほとんどのケースで歯の神経を取ることなく、通院2回・1~2週間で治療が完了しています。
歯に優しい「神経を残すセラミック矯正」が、貴方のお悩みの解決につながれば大変嬉しいです。
ぜひ、当院の治療例をご覧ください。
※ お口の症状やお悩み、「このようになりたい」などのご要望で絞り込み検索も可能です。
Dr.田中の解説