HOME > 治療症例からみるお悩み解決方法 > 治療症例検索 > 【お口の症状・お悩みからみる】 > すきっ歯・空隙歯列
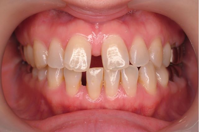
歯と歯の間に隙間がある「すきっ歯」は、専門的には「空隙歯列」と言いますが、前歯の中心に隙間がある場合は「正中離開」とも呼ばれます。特に目立つ前歯の場合はコンプレックスを持っていらっしゃる方が多いようです。
すきっ歯の原因はいくつかありますので、それぞれの原因について解説していきます。
上の歯ぐきにあるスジを上唇小帯と呼びますが、これが生まれつき長い場合すきっ歯の原因となることがあります。
周りに比べて小さい歯で、側切歯(2番目の歯)に多く見られます。生まれつきの歯の形成異常の一種で、矮小歯があるとすきっ歯になりやすくなります。
歯の大きさは正常でも、顎が大き過ぎる場合や、顎の大きさに対して歯が小さ過ぎてバランスが悪い場合はすきっ歯になることがあります。
奥歯を噛んだ時に下の前歯が見えなくなる程上の前歯のかみ合わせが深い場合、下の歯が上の歯を押してしまうためすきっ歯になることがあります。
歯周病が悪化して歯の隙間が生じる場合があります。昔は隙間が空いてなかったのに数年で隙間ができたという成人の方は、歯周病が原因の場合が多いです。
すきっ歯の患者様からは、以下のようなお悩みがよく聞かれます。



歯の裏側にゴムを取り付けて歯の隙間を埋める治療方法です。
すきっ歯の症状が軽い場合、裏側にゴムを貼り付ける部分矯正をご案内しています。歯を全く削る必要がなく、通院回数は2回だけ、またゴムは半透明なのでほとんど目立ちません。 個人差がありますが、1~3か月ほどで隙間が無くなり、最短1日で隙間がなくなったケースも存在します。
重症の場合など対応が難しいこともありますので、お気軽にご相談ください。
治療費用:16.5万円(税込)
※重症の場合22万円(税込)



歯を一切削らずに、裏側にゴムを貼り付ける治療のみですきっ歯矯正をされた患者様の例です。

歯を削った上から、セラミックでできた被せ物を装着することで歯を美しく見せる治療方法です。
歯の大きさや白さを選ぶことができるために審美的に優れた治療方法です。
一般的には神経を取り除くことが多く、リスクがある治療ですが、当院では神経を残す歯に優しい治療を行っています。
歯と歯の隙間部分に詰め物をして、歯並びを綺麗に見せる方法がダイレクトボンディング法です。治療時間が短く、通院も必要がなく手軽に治療ができます。
一方で、自然な形態に作ることができず、経年劣化が起こりやすく着色による変色があることがデメリットです。
歯の表面を0.5ミリ程度削って、薄いセラミックを被せる治療方法です。歯を白くしたい方、表面の凹凸を治したい方にお勧めです。
歯の表面に被せるセラミックは、白さだけでなく大きさも選ぶことができるため、軽度のすきっ歯などの治療には有効です。
デメリットは外れてしまうことがある点です。また、歯を削る量に対して貼り付けるラミネートべニアの方が分厚いため、通常より盛り上がった形での仕上がりになってしまうケースがあります。
歯にブラケットを取り付けてワイヤーの力で歯並びを矯正する方法で、比較的重症でも対応が可能です。
見た目が目立つことと治療期間が長いこと治療中に痛みが伴うことが一般的なデメリットです。
透明のマウスピースを装着する矯正方法です。見た目が目立たず、食事の時は一時的に取り外し可能であることがメリットです。
ワイヤー矯正と同様に治療期間が長いことと自己管理を要し、それが仕上がりに影響するデメリットなどがあります。
すきっ歯治療は、神経を残すセラミック矯正の得意とするところです。
重症なすきっ歯の場合は、歯科矯正用のゴムによる部分矯正で歯を寄せてスペースを作ってからセラミック治療を行います。



このように丁寧に治療を行えば、必要以上に大きなセラミックを被せることもなく、歯の形や色もお好きなように選ぶことができます。
患者さんは若返りのために、歯の長さを少し短めにし、明るくて自然な白い歯にしました。
当院では部分矯正を併用した治療で美しく自然な歯並びを作りますが、通院2回・1~2週間で素早く治療を完了したいご希望がある場合は、症状にもよりますが、できるだけ恰好良く自然に見える形に工夫してセラミック歯を作ります。
当院の治療例の中には、【神経を残すセラミック矯正】のみで治療した症例もありますので、ぜひご覧ください。
歯並びの症状が重度の場合、神経を残すのは難しいこともあるのですが、実は40代・50代のミドル世代は適応できるケースが多くあります。
年齢を重ねると歯の神経も退縮している場合があり、少々重症な場合も神経を残すことが可能なケースが多いのも事実なのです。
40代・50代のセラミック矯正の詳細はこちらをご覧ください。
当院の治療例です。
掲載の症例は当院の治療実績の中のほんの一部ですが、今後少しずつ掲載を増やしていく予定です。
患者様のご予算等の制限もあり、歯並びは完璧に整っていない場合もありますが、各症例は「今の一番のご希望」を最大限叶えたものになっています。当院ではほとんどのケースで歯の神経を取ることなく、通院2回・1~2週間で治療が完了しています。
歯に優しい「神経を残すセラミック矯正」が、貴方のお悩みの解決につながれば大変嬉しいです。
ぜひ、当院の治療例をご覧ください。
※ お口の症状やお悩み、「このようになりたい」などのご要望で絞り込み検索も可能です。
Dr.田中の解説