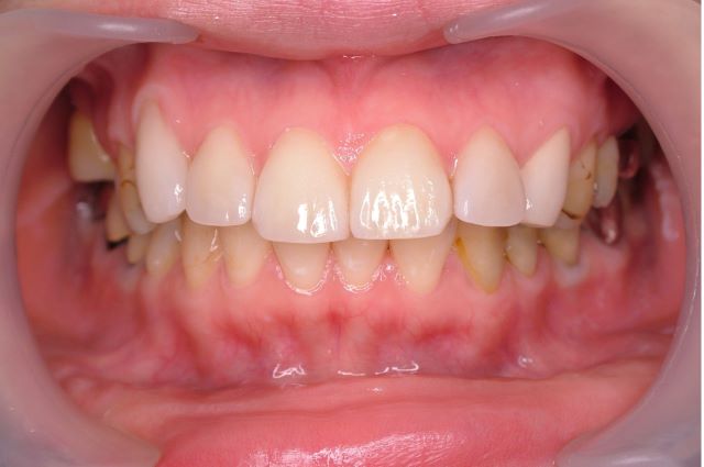
矯正治療前


矯正治療後

患者様はクリーニングでは取れない虫歯の治療痕がずっとお悩みだったとのことで、【神経を残すセラミック矯正】で若々しくなりたいと来院されました。
患者様は、セラミックにすることを周りに気づかれたくない、自然な感じにしたいということで、歯並びはあまり変えずに、歯の色も生来の歯に合わせました。歯の形は少しだけ小さめにして整えました。
治療後はどこから見ても天然の歯のような仕上がりにとても喜んでいただきました。
前歯の虫歯は患部を削ってレジンという樹脂を詰めて治療しますが、レジンは段々茶色く変色してきます。それをきれいにするにはまた削るしかなく、削る量もだんだん広範囲になっていってしまうため、【神経を残すセラミック矯正】による治療はお勧めです。
年代別、症状・お悩み別、ご希望別でも
治療症例をご覧いただけます