HOME > 治療症例からみるお悩み解決方法 > 治療症例検索 > 【お口の症状・お悩みからみる】 > ブラックトライアングルがある
ブラックトライアングルとは、歯と歯の間にできる隙間のことを指します。
隙間が小さいうちは目立ちませんが、大きくなると隙間が三角形となり、色も黒く見えるため「ブラックトライアングル」と呼ばれます。
ブラックトライアングルが前歯の一番目立つ部分にできると、笑った時に目立ってしまうため、見た目が気になるという人も多いでしょう。

歯と歯の間に隙間が空いてしまう主な理由として、歯肉が減ってしまうことや「歯間乳頭」と呼ばれる歯と歯の間にある歯肉の先が尖っている部分が歯の根元側に下がってしまうことが挙げられます。
一度歯肉がやせ細ったり下がってしまうと、自然に元に戻ることはありません。歯肉の減少や退縮につながる原因を解説します。
歯間乳頭は、歯槽骨という骨の上に形成されています。
加齢とともに人の細胞は活性度が下がりますが、歯槽骨や歯肉でも同様に細胞の活性度が下がります。細胞の活性が低下すると、歯槽骨や歯肉は萎縮し徐々に高さが低くなっていきます。
これにより歯間乳頭の位置も歯の根元側に下がり、歯と歯の隙間が拡大し、ブラックトライアングルにつながります。
老化によって起こるブラックトライアングルには個人差がありますが、30代頃から始まり40代になるとより目立ってくるケースが多いようです。
元々、歯の形が三角形の場合、歯ぐきに近い方が細くなっているためブラックトライアングルができやすくなります。
また、歳を重ねて歯ぐきが下がってくると、細い歯の根元の方が露出してくるのでブラックトライアングルが発現しやすくなります。ブラックトライアングルが老けて見える印象が強いのは、こうした理由にもよるのです。
歯並びを整える歯列矯正を行うことで、ブラックトライアングルができてしまうことがあります。
ワイヤーでの歯列矯正は、矯正器具を歯に装着し、少しずつ力をかけることで歯列を整える治療方法です。
この時、歯槽骨を溶かすことで歯を並べ変えるのですが、移動の際に溶けた歯槽骨が元の高さまで戻らないために、歯槽骨と歯間乳頭が矯正前よりも低い位置となってしまうケースが多いのです。
歯槽骨と歯間乳頭の位置が下がると隙間ができ、ブラックトライアングルとなってしまいます。
また、ワイヤー矯正では一部の歯を抜歯することが多く、以前よりも歯列に余裕ができたことで、歯と歯の間に隙間ができてブラックトライアングルが目立つことがあります。
矯正方法の特性上、歯と歯の間に隙間ができてしまうことが避けられないケースもあるのです。
歯周病によって歯と歯肉の境目が深くなることも多く、歯間乳頭が下がってしまいブラックトライアングルを形成します。また、歯周病の治療を行ったことにより、腫れていた歯肉が引き締まってブラックトライアングルができてしまうこともあります。
しかし、ブラックトライアングルができるのを避けるために、歯周病の治療を行わないことはお勧めしません。歯周病がより進行すると歯槽骨を溶かしてしまい、土台が弱くなった歯が動くことがあります。
このような場合、治療をせずそのままにしておくと最終的に歯が抜け落ちてしまいますので、歯周病に気づいたら早い段階での治療が必要です。
歯の磨き方は人によって癖があり、磨きすぎや力加減が強すぎると歯肉に大きな負担をかけてしまうことがあります。そして、歯肉に負担がかかる状態が長い間続くと、歯間乳頭部分の歯肉が薄くなったり、その下の歯槽骨にも負荷がかかって溶けてしまい、結果として歯肉が後退して、歯の間に隙間ができてブラックトライアングルとなることがあります。
また、就寝中の食いしばりやかみ合わせが日常的に強い場合は、歯だけでなく歯肉や歯槽骨にも大きな負担がかかるため、歯や歯槽骨が溶けて歯間乳頭が下がり、ブラックトライアングルができてしまう場合があります。
特に、下顎を前後に動かす癖があると、上下の前歯が擦れることにより前歯の歯槽骨や歯間乳頭が数年をかけて徐々に下がり、ブラックトライアングルが目立つようになります。
ブラックトライアングルは見た目の印象や衛生面から気にされる方が非常に多いです。
隙間の範囲が大きく、空気漏れで発音にまで支障をきたす場合は治療をお勧めします。


歯を削った上から、セラミックでできた被せ物を装着することで歯を美しく見せる治療方法です。
歯の大きさと白さを選ぶことができるために審美的に優れた治療方法です。
一般的には神経を取り除くことが多く、リスクがある治療ですが、当院では神経を残す歯に優しい治療を行っています。
歯の表面を0.5ミリ程度削って、薄いセラミックを被せる治療方法です。歯を白くしたい方、表面の凹凸を治したい方におすすめです。
歯の表面に被せるセラミックは、白さだけでなく大きさも選ぶことができるため、軽度のすきっ歯などの治療にも有効です。
デメリットは外れてしまうことがある点です。歯を削る量に対して貼り付けるラミネートべニアの方が分厚いため、通常より盛り上がった形での仕上がりになってしまうケースがあります。
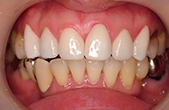
他院でワイヤー矯正を行った患者様です。矯正治療後にブラックトライアングルができてしまい、相談にいらっしゃいました。



患者様のご希望通り、小さめの白い歯でブラックトライアングルの治療も行いました。セラミック歯は全て削る量を最小限にし、神経を残して治療しています。
当院にはワイヤー矯正治療をしたものの、審美的に満足できないという患者様が多く来院されます。
ブラックトライアングルになってしまった患者様に対しても、歯の大きさや歯の色など総合的に診察して治療のご提案をさせていただいています。
歯並びの症状が重度の場合、神経を残すのは難しいこともあるのですが、実は40代・50代のミドル世代は適応できるケースが多くあります。
年齢を重ねると歯の神経も退縮している場合があり、少々重症な場合も神経を残すことが可能なケースが多いのも事実なのです。
40代・50代のセラミック矯正の詳細はこちらをご覧ください。
当院の治療例です。
掲載の症例は当院の治療実績の中のほんの一部ですが、今後少しずつ掲載を増やしていく予定です。
患者様のご予算等の制限もあり、歯並びは完璧に整っていない場合もありますが、各症例は「今の一番のご希望」を最大限叶えたものになっています。当院ではほとんどのケースで歯の神経を取ることなく、通院2回・1~2週間で治療が完了しています。
歯に優しい「神経を残すセラミック矯正」が、貴方のお悩みの解決につながれば大変嬉しいです。
ぜひ、当院の治療例をご覧ください。
※ お口の症状やお悩み、「このようになりたい」などのご要望で絞り込み検索も可能です。
Dr.田中の解説