HOME > 治療症例からみるお悩み解決方法 > 治療症例検索 > 【お口の症状・お悩みからみる】 > デコボコ ・八重歯
歯と顎の大きさのアンバランスにより、歯が重なりあってデコボコになっている状態を「叢生」と言います。「乱杭歯」とも呼ばれます。
後から生えてくる犬歯が並ぶスペースがないことから、歯列からはみ出して「八重歯」が生じる場合もあります。
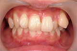
八重歯とは、上顎の犬歯(前から3番目の歯)が、歯列の外側に飛び出して生えている状態です。
犬歯は他の歯よりも歯の根が長く、本来かみ合わせの要となる歯です。しかし、それが外にはみ出ていることでかみ合わせに参加している状態ではなく、かえって他の歯に負担をかけてしまっています。
叢生・八重歯の患者様からは、以下のようなお悩みがよく聞かれます。


ワイヤー矯正は、歯の表面に「ブラケット」という装置を付け、そこにワイヤーを通して歯を少しずつ動かす治療方法です。比較的症状が重い場合は、ワイヤー矯正しか選択肢がないこともあります。
治療期間は、歯の移動に2~3年、保定に2年位を要します。全顎的なかみ合わせ等も考慮して治療をするので、成長期の患者さんには時間をかけてもワイヤー矯正を行うメリットは高いでしょう。
デメリットとしては、痛みを伴う治療であることや、叢生の症状では多くの場合抜歯が必要になることです。また、歯の移動を伴う矯正治療は、歯肉の退縮や後戻りのリスクがあります。

軽度の叢生は適用できますが、デコボコの症状が重い場合は、マウスピース矯正ではきれいにならない可能性が高くなります。
神経を残すセラミック矯正は、歯を少ししか削れないので重症な歯並びを治せないことが最大のデメリットですが、以下のような叢生・八重歯は適用症例と言えるでしょう。
ご自分は適応できないと思うような歯並びでも、専門の歯科医師が診ると治療可能な場合が大変多いです。
ご自分で判断せずに、まずは無料カウンセリングか無料メール相談にてご相談ください。
【神経を残すセラミック矯正】は歯に優しい分、矯正量には限界があるとお伝えしましたが、具体的にどのように叢生・八重歯を治療するか症例を元に解説します。
「デコボコの歯並びを治したい、八重歯が気になる、すぐにきれいになりたい」と悩んでいる方は必見です!



歯列からはみ出た八重歯は、年齢を重ねると歯ぐきが上がって「牙」のようになるケースも多く、また、歯みがきがしにくいこともあって歯周病のリスクも高いため、見た目やメンテナンスで問題が生じてきたら、抜くことを考えても良いと思います。
ただし、抜歯をするとほうれい線やお口の周りのシワなどのデメリットもあるため、治療結果の見極めが重要になります。
歯並びの症状が重度の場合、神経を残すのは難しいこともあるのですが、実は40代・50代のミドル世代は適応できるケースが多くあります。
年齢を重ねると歯の神経も退縮している場合があり、少々重症な場合も神経を残すことが可能なケースが多いのも事実なのです。
40代・50代のセラミック矯正の詳細はこちらをご覧ください。
当院の治療例です。
掲載の症例は当院の治療実績の中のほんの一部ですが、今後少しずつ掲載を増やしていく予定です。
患者様のご予算等の制限もあり、歯並びは完璧に整っていない場合もありますが、各症例は「今の一番のご希望」を最大限叶えたものになっています。当院ではほとんどのケースで歯の神経を取ることなく、通院2回・1~2週間で治療が完了しています。
歯に優しい「神経を残すセラミック矯正」が、貴方のお悩みの解決につながれば大変嬉しいです。
ぜひ、当院の治療例をご覧ください。
※ お口の症状やお悩み、「このようになりたい」などのご要望で絞り込み検索も可能です。
Dr.田中の解説